来源:奇闻呀(www.qiwenya.com)时间:2025-10-28 09:24作者:QI手机阅读>>
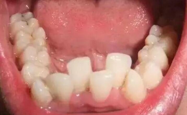
智齿是非常折磨人的一颗牙齿,经常在高中生大学生等人群中出现,这个年龄段刚好是智齿长出来的年龄段,许多人被智齿折磨得死去活来,所以非常多的人选择拔掉智齿,有些智齿还未发炎的朋友在考虑应不应该拔掉智齿,今天小编给大家带来了不需要拔的智齿图片,为您解开这个疑惑。

许多朋友到了长智齿的年龄,但是还没有遇到智齿发炎等情况,所以在考虑要不要先将智齿拔掉,避免一些疼痛发生,您可以对照这几张不需要拔的智齿图片来看看您是否有此情况,再由小编为您解答哪些情况不用拔智齿,看完您就知道您的智齿应不应该拔了。
一、智齿形状正常,不是阻生牙

这种智齿形状看起来和其他牙齿没什么区别,与旁边的牙齿连接得比较正常,不会发生磨损等情况,不会损害到牙龈,并且可以正常进行咀嚼,那么这种智齿就跟普通的牙齿一样,对人口腔没有太大影响,是不需要拔的,大家可以放心进行饮食,不必担心智齿问题。
二、智齿形状正常,是阻生牙

这种智齿的形状看起来也很正常,与其他牙齿没什么区别,但是这种智齿会影响到其他的牙齿甚至是神经,那么这种智齿就需要去医院进行手术牵引,把这颗牙齿牵引到正常的位置,使其不会出现口腔问题,这种也是不用拔除的,只需要进行牵引即可。奇闻呀 www.qIwenyA.CoM
有些朋友的智齿已经拔除了,担心拔了智齿会有一些后遗症,又看见网上有人说拔了智齿非常后悔,于是更加忐忑不安,拔了智齿真的会后悔吗,就让小编来告诉你。

实际上就算智齿没有发炎,把它拔了之后只要注意饮食和口腔卫生,其实也不会有太大影响。如果牙齿没有发炎其实是不建议做拔智齿手术的,有些智齿生长会非常健康,可能一辈子也不会发炎,也不会引起口腔问题,所以没有发炎的智齿是可以不拔的……【查看详情】
说起海洋我们都知道,海洋在地球上占据着极大的面积,它的地位也是不言而喻。对于海洋,未解之谜其实有太多太多了,目前我们只探索了8%的海洋。海洋中的生物种类众多,深中浅层都有着...
2025-09-05 13:08阅读全文 >>
智齿是很多人都会遇到的牙齿疾病,有的人还会一次遇到两颗或者四颗,而很多人对智齿的选择就是拔牙。但是网上也有人说一次拔两颗智齿后悔死了这样的话。那么这到底是不是危言...
2025-09-09 15:48阅读全文 >>
智齿是很多人都会存在的一种牙齿问题现象,对于智齿最好的解决方法就是拔掉,但是网上一直都有拔智齿后遗症太多了后悔了等说法。的确是有一些人出现了问题,例如干槽症,这让...
2026-01-09 12:52阅读全文 >>
智齿是很多人都会遇到的一个难题,因此很多人选择的方式就是拔掉智齿。不过有很多人后面反应拔智齿后那个洞臭到恶心。那么这是什么原因造成的,又改怎样解决了?其实这基本上...
2025-11-10 17:40阅读全文 >>
许多人都非常喜欢的游泳,这是一项非常健康的运动,可以有效的锻炼身体。但是每年都会发生许多的溺水事故,曾经有许多溺水事故都是在水库里发生的,那么到底水库水底有多恐怖...
2026-01-29 07:32阅读全文 >>
智齿大家都不陌生,很多人都有,可以说智齿痛的时候是十分难受的了,因此很多人都想要拔掉自己的智齿,但是网上却有很多人都说拔智齿后悔死了,那么为什么要这么说了?这其实...
2025-09-10 10:44阅读全文 >>
两弹一星之父到底是谁?目前最具争议的就是钱学森和邓稼先,两人其实都是两弹一星功勋章获得者,而获得该奖章的一共有23位科学家,他们在中国研究核弹(原子弹、氢弹)、导弹...
2025-06-22 10:36阅读全文 >>
黑话律师大老鼠到底是谁?房长,刚开始李钟硕饰演的朴昌浩对身边人都怀疑了个遍,但没想到大老鼠竟然就是房长,这是在12集时,房长亲口向昌浩承认的,只不过在承认不久,就在...
2025-05-18 12:10阅读全文 >>
随着我国第一颗原子弹在1964年爆炸,中国也成为了世界上为数不多拥有着核武器的国家,更是成功向全世界证明了中国这头沉睡的雄狮已经觉醒。那么两弹一星之父到底是谁呢?其实就...
2025-05-02 12:32阅读全文 >>
俗话说的好春捂秋冻,而现在正是刚刚暖和的季节,大街上也是到了乱穿衣的季节,有的还穿着棉袄呢,有的就已经穿上了小短裙,人们在气温的感知上还是不同的,有的还是因为爱美...
2023-02-25 14:57阅读全文 >>
科学探索排行
